Researchers have found the first evidence in human ovarian tissue that exposure to ibuprofen during the crucial first three months of foetal development results in a “dramatic loss” of the germ cells that go into making the follicles from which female eggs develop. The germ cells either died or failed to grow and multiply at the usual rate.

The authors of the study, which is published today (Friday) in Human Reproduction [1], one of the world’s leading reproductive medicine journals, say that their findings raise concerns about the long-term effects of ibuprofen on the future fertility of women exposed to the pain killer when in their mothers’ wombs.

“Baby girls are born with a finite number of follicles in their ovaries and this defines their future reproductive capacity as adults,” explained Dr Séverine Mazaud-Guittot, a researcher at INSERM in Rennes, France, who led the study. “A poorly stocked initial reserve will result in a shortened reproductive life span, early menopause or infertility – all events that occur decades later in life.

Read more at European Society of Human Reproduction and Embryology

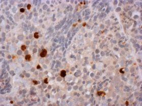
Image: This is ovarian tissue that has been exposed to ibuprofen for seven days. The big brown cells are dying germ cells and the smaller brown cells are also dying. (Credit: Severine Mazaud-GuiJot, INSERM)