For the first time – in Norway and internationally – researchers have looked at the direct correlation between brain size and cancer risk in adults.

It may simply be that having a big brain is itself the cause.

That’s what doctor and PhD candidate Even Hovig Fyllingen at NTNU has determined with his research colleagues.

“Aggressive brain cancer is a rare type of cancer, but once you have it, the chance of survival is relatively low,” he says.

Read more at Norwegian University of Science and Technology

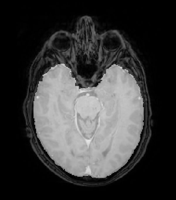
Image: MRI of a healthy HUNT participant. Women with large brains have a greater risk of developing a brain tumour compared to men with a big brain. (Photo: Even Hovig Fyllingen)