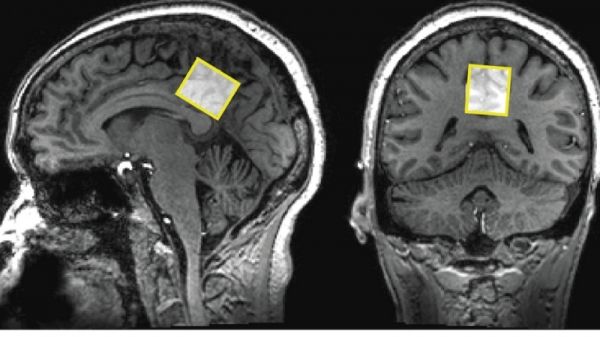
Using strong and targeted but noninvasive magnets at specific sites in the brains of people with and without mild learning and memory problems, Johns Hopkins researchers report they were able to detect differences in the concentrations of brain chemicals that transmit messages between neurons. The strength of these magnetic fields allows the researchers to measure tiny amounts and compare multiple brain metabolite levels at the same time. These studies may ultimately help to reveal what initiates memory decline and may, perhaps, even predict dementia risk.

The researchers believe that measuring such data over time will allow them to more accurately detect and describe changes in metabolism in the brain as a person progresses from healthy to mild cognitive impairment and to dementia.

The findings were published in the January issue of Neurobiology of Aging.

“We hope one day to use this technology to understand the earliest changes in brain chemistry that are associated with cognitive and behavioral symptoms that could represent new targets for treatment,” says Gwenn S. Smith, Ph.D., the Richman Family Professor of Alzheimer’s and Related Diseases, Department of Psychiatry and Behavioral Sciences at the Johns Hopkins University School of Medicine and director of the Division of Geriatric Psychiatry and Neuropsychiatry. “Right now, we don’t know the biological mechanism in the brain that initiates memory impairment, and we believe that using this technique we may eventually be able to understand the chemical changes in the brain that trigger this damage, and perhaps one day intervene to prevent it.”

Read more at Johns Hopkins Medicine

Image Credit: Johns Hopkins Medicine