A protein associated with cancer growth appears to drive the deadly lung disease known as idiopathic pulmonary fibrosis, according to new research from Cedars-Sinai. The discovery, made in laboratory mice and human tissue samples, may have implications for treating the disease using existing anti-cancer therapies that inhibit the protein PD-L1.

Idiopathic pulmonary fibrosis is a chronic, progressive lung condition of unknown cause that affects more than 100,000 people in the U.S. It consists of fibrosis—a buildup of fibrous scar tissue—that eventually robs the lungs of the ability to transport oxygen to the bloodstream. Although the disease progresses at variable rates, most patients die within five years after being diagnosed, according to the National Institutes of Health.

"At present, there is no known cure for this devastating condition," said Paul Noble, MD, professor of Medicine and chair of the Department of Medicine, director of the Women's Guild Lung Institute and the Vera and Paul Guerin Family Distinguished Chair in Pulmonary Medicine at Cedars-Sinai. "Current FDA- approved drugs only slow the fibrosis in certain individuals or treat some symptoms. This study opens a pathway for developing a treatment for idiopathic pulmonary fibrosis."

Noble and Dianhua Jiang, MD, PhD, professor of Medicine at Cedars-Sinai, were co-corresponding authors of the research published in the journal JCI Insight.

Read more at Cedars-Sinai Medical Center

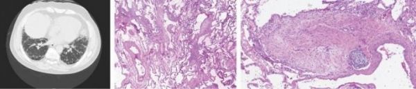
Image: Images show, from left, a chest CT scan of a patient with idiopathic pulmonary fibrosis and lung biopsies displaying the typical disease pattern and scarring. (Credit: Cedars-Sinai)