New assistive technology can diagnose collapsed lungs from chest x-rays with a higher degree of accuracy than radiologists.

The system, developed at the University of Waterloo, uses artificial intelligence (AI) software to search a huge database of x-ray images with known diagnoses for comparison to x-rays of new patients with unknown conditions.

That approach enables researchers to identify 75 per cent of cases of collapsed lungs, or pneumothorax. On average, medical specialists diagnose fewer than 50 per cent of cases when chest x-rays are used.

“Our results are very exciting,” said Antonio Sze-To, a postdoctoral fellow at Waterloo. “The AI we use works almost like magic - and it will help radiologists save lives.”

Read more at University of Waterloo

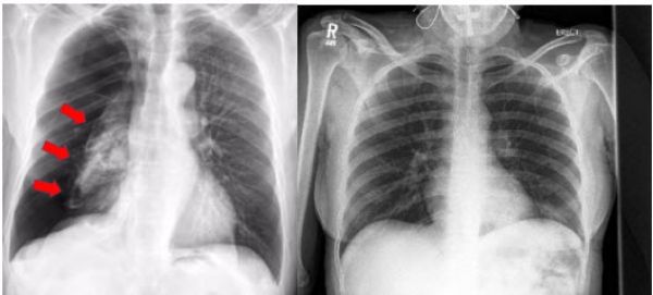
Image:  X-ray showing collapsed lung (Left) and X-ray showing a normal lung (Right).