Chronic rejection of transplanted organs is the leading cause of transplant failure, and one that the field of organ transplantation has not overcome in almost six decades since the advent of immunosuppressive drugs enabled the field to flourish. 

Now, a new discovery led by researchers at the University of Pittsburgh School of Medicine and Houston Methodist Hospital suggesting the innate immune system can specifically remember foreign cells could pave the way to drugs that lengthen long-term survival of transplanted organs. The findings, based on results in a mouse model, are published today in the journal Science.

“The rate of acute rejection within one year after a transplant has decreased significantly, but many people who get an organ transplant are likely to need a second one in their lifetime due to chronic rejection,” said Fadi Lakkis, M.D., who holds the Frank & Athena Sarris Chair in Transplantation Biology and is scientific director of Pitt’s Thomas E. Starzl Transplantation Institute. “The missing link in the field of organ transplantation is a specific way to prevent rejection, and this finding moves us one step closer to that goal.”

The immune system is composed of innate and adaptive branches. The innate immune cells are the first to detect foreign organisms in the body and are required to activate the adaptive immune system. Immunological “memory” — which allows our bodies to remember foreign invaders so they can fight them off quicker in the future — was thought to be unique to the adaptive immune system. Vaccines, for example, take advantage of this feature to provide long-term protection against bacteria or viruses. Unfortunately, this very critical function of the immune system is also why transplanted organs are eventually rejected, even in the presence of immune-suppressing drugs.

Read more at University of Pittsburgh

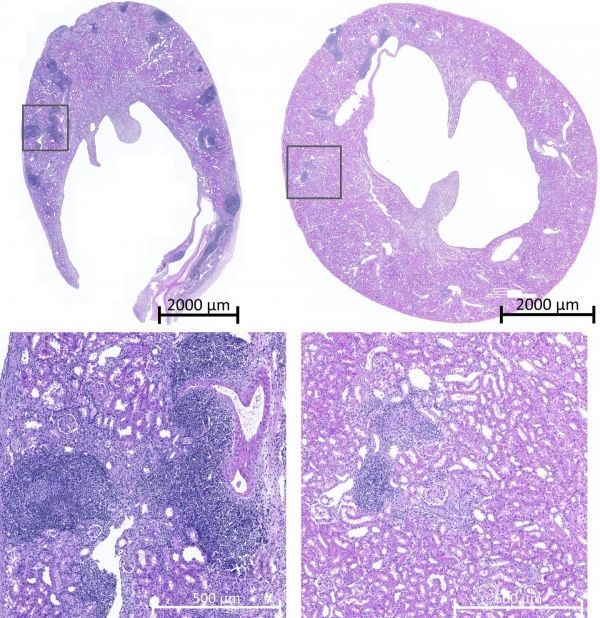
Image: Image of transplanted mouse kidney tissues showing recipient immune cells (blue) in normal (left) but not genetically modified mice (right). (Credit: Image adapted from Dai H et al., Science (2020))