About one in 100 children has a common brain disorder called Chiari 1 malformation, but most of the time such children grow up normally and no one suspects a problem. But in about one in 10 of those children, the condition causes headaches, neck pain, hearing, vision and balance disturbances, or other neurological symptoms.

In some cases, the disorder may run in families, but scientists have understood little about the genetic alterations that contribute to the condition. In new research, scientists at Washington University School of Medicine in St. Louis have shown that Chiari 1 malformation can be caused by variations in two genes involved in brain development.

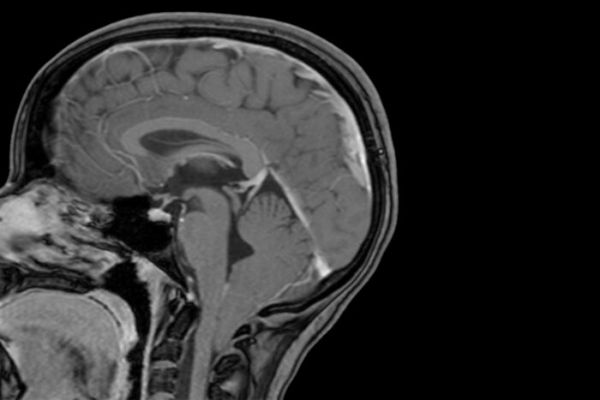
The condition occurs when the lowest parts of the brain are found below the base of the skull. The study also revealed that children with unusually large heads are four times more likely to be diagnosed with Chiari 1 malformation than their peers with normal head circumference.

Read more at Washington University School of Medicine

Image: The lowest part of a child's brain is visible below the bottom of the skull in this MRI scan and shows evidence of a Chiari 1 malformation. Researchers at Washington University School of Medicine in St. Louis have shown that Chiari 1 malformation can be caused by variations in two genes linked to brain development, and that children with large heads are at increased risk of developing the condition.  CREDIT: David Limbrick